Michael J Aiello, DDS, PLC

Smile Gallery

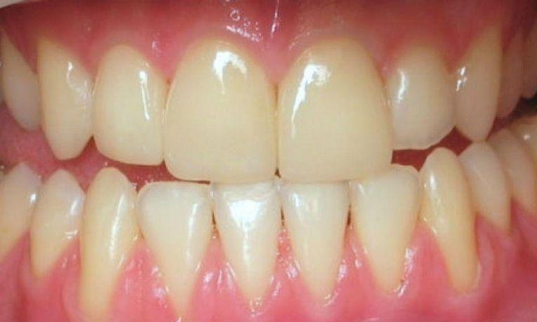
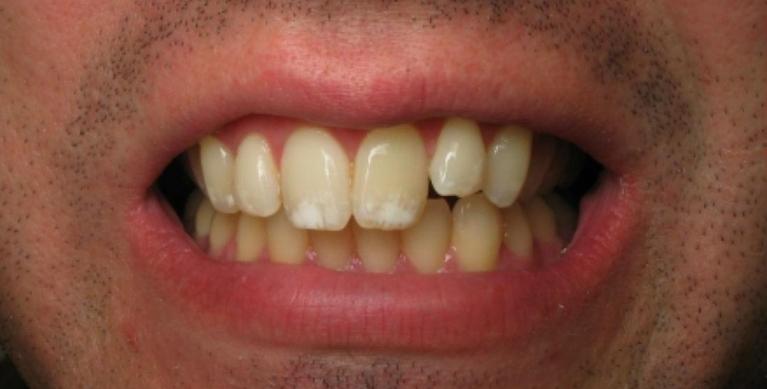
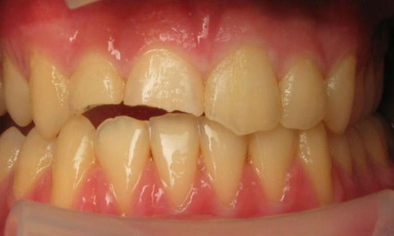
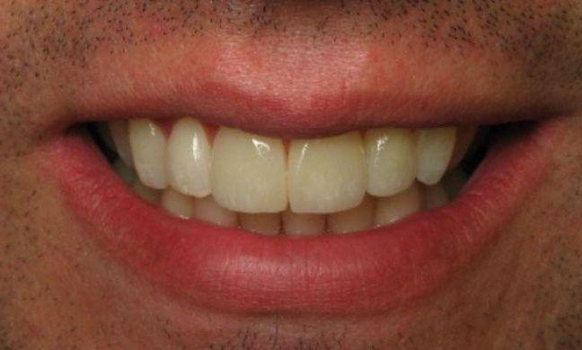
Changing lives is the best part of our job! See how Dr. Aiello has enhanced the smiles of other patients just like you.

Ready to book an appointment?
Linda M.

Very professional and friendly staff. They work well together and make the experience as pleasant as possible while providing excellent dental care.

If you have difficulty using our website, please email us or call us at (586) 263-6800
View the ADA Accessibility Statement